Angiografía con Fluoresceína (AGF)
Es una técnica clásica pero sigue siendo imprescindible para saber cómo circula la sangre por la retina y la coroides.

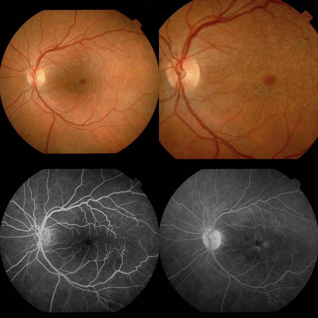
¿Que es?
Es una técnica diagnóstica que se utiliza en oftalmología para valorar enfermedades en la parte posterior del ojo (retina y coroides). Consiste en inyectar un contraste (Fluoresceína Sódica) por la vena y ver con una cámara fotográfica como está la circulación de los vasos en la retina.
¿Qué instrumento se utiliza?
Las fotografías de la retina las registra el Angiógrafo Ocular, preparado para lanzar un flash específico y registrar, en forma de fotografías o de vídeo; el paso del contraste por todos los sistemas vasculares del segmento posterior del ojo. Este instrumento lo maneja con destreza el técnico optometrista.
¿Cuando la realizamos?
Se solicita cuando queremos obtener información sobre enfermedades que afectan a la circulación de la retina. Las enfermedades en que más se utiliza son la retinopatía diabética, las trombosis venosas y la degeneración macular asociada a la edad húmeda (DMAE).
Preparación para la prueba
- Requiere primero poner gotas para dilatar la pupila. Será necesario que venga a realizar la prueba acompañado porque puede ver borroso durante 2-6 horas aproximadamente.
- Es importante comentar al médico cualquier alergia conocida a medicamento u otro tipo de contrastes como el yodo.
- Durante la inyección de contraste es normal experimentar una sensación leve de nauseas o ganas de vomitar. En general estos síntomas son leves y desaparecen al terminar la prueba.
¿Qué riesgos tiene?
En muy pocos casos, puede ocurrir que una persona sea alérgica o hipersensible al contraste. En estos casos puede experimentar sensación de mareo, urticaria y manchas en la piel después de la prueba. Las reacciones alérgicas más severas (llamadas anafilácticas) son muy infrecuentes.
La orina será de color naranja o más oscura durante 1 o 2 días después de la prueba.